おかげさまで開設25周年OYUSEPSTORE.COM 創業祭

OYUSEPSTORE.COM

詳しくはこちら
マイストア マイストア 変更
  • 即日配送
  • 広告
  • 取置可能
  • 店頭受取

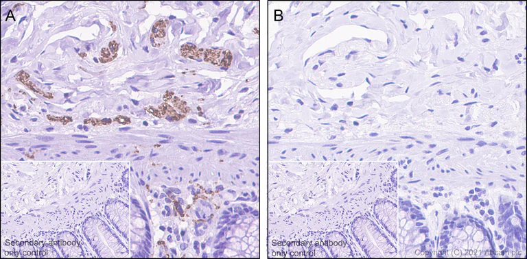
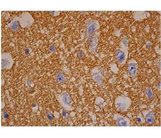
HOT ! のんページ Anti-Tau (phospho S396) antibody [EPR2731] 20 ul size

※OYUSEPSTORE.COM 限定モデル
YouTuberの皆様に商品の使い心地などをご紹介いただいております!
紹介動画はこちら

ネット販売
価格(税込)

8795

  • コメリカード番号登録、コメリカードでお支払いで
    コメリポイント : 7ポイント獲得

コメリポイントについて

購入個数を減らす
購入個数を増やす

お店で受け取る お店で受け取る
(送料無料)

受け取り店舗:

お店を選ぶ

近くの店舗を確認する

納期目安:

13時までに注文→17時までにご用意

17時までに注文→翌朝までにご用意

受け取り方法・送料について

カートに入れる

配送する 配送する

納期目安:

2025.10.13 0:36頃のお届け予定です。

決済方法が、クレジット、代金引換の場合に限ります。その他の決済方法の場合はこちらをご確認ください。

※土・日・祝日の注文の場合や在庫状況によって、商品のお届けにお時間をいただく場合がございます。

即日出荷条件について

受け取り方法・送料について

カートに入れる

欲しいものリストに追加

欲しいものリストに追加されました

のんページ Anti-Tau (phospho S396) antibody [EPR2731] 20 ul sizeの詳細情報

Anti-Tau (phospho S396) antibody [EPR2731] 20 ul size。prdct_img_19084_3.jpg。NCAM/CD56 Antibody (123C3) | SCBT - Santa Cruz Biotechnology。※オーダーしない場合は「キャンセルします」と一言お願いします。※画像欄の最後に注意事項を載せておりますのでご確認下さい。◯画像の保存が完了しました。ありがとうございます!削除していただいて大丈夫です。発送予定日 12/10頃______________________料金① 15163円ウィッグ5134+送料550+製作費7000-画像割500+ウィッグ相談500+発送(サイズ80送料+箱代)1100+手数料10%______________________製作メモ・ハーフアップ、触角、頭頂部付近の立ち上げ頭頂部付近は崩れない様にしっかり固めます。後ろ髪はナチュラルにしたいためサラサラに仕上げます。触角部分は2本______________________⚠️お色味お色味ですが、ブラウン07が在庫切れとなります。レッドブラウン07で行こうと思ったのですが頂いた参考画像よりも朱色感が強いかな?と感じましたので、一旦ご報告を、、、(画像4)もし気になる様であればブラウン07のストレート80cm(5134+送料550)で製作、もしくは少し明るいブラウン06で製作などはいかがでしょうか?お色味の比較は画像5に載せています。______________________製作サイズアシスト製のマネキンでセットしています。◯おでこの生え際から目頭まで 8cm◯おでこの生え際から顎先まで 20cmお顔に合わせてセットすることも可能ですので、その場合は計測して教えていただければと思います。その他、気になる部分がある際は教えていただければできる限り合わせて製作いたします。おでこの生え際から眉毛まで cm耳の付け根から目尻まで cm______________________以上です。気になることがあればお気軽にご相談ください。よろしくお願いします。。型抜き付せん 森柄(19085006)。なぎ エアリス赤ドレスウィッグ。【MK20】島田 大衆演劇 かつら 鬘 ウィッグ 人毛 ケース付き。アンベリール 医療用ウイッグ2点 シャンプーリンス付き 匿名配送 値下げ。#新品 #分け目ウイッグ#ナチュラルブラック1B。Soprano フォンテーヌトップピース BP837 F4.。ビューラックス美容師国家試験カットウィッグ4頭セット。花魁髷(ウィッグ) 単品 ライトブラウン。⭐︎Malibu 高級品 マリブ ウィッグ 2個セット 極美品⭐︎。手植え人毛フルウィッグ ♡ ピンクエイジ チェルシー 14インチ。ストレートヘア ウィッグ セット。美容学生 国家試験ウィッグセット。高級レミー人毛100%ウイッグ。即購入可様 オーダーウィッグ 《シャイロック》
  • Anti-Tau (phospho S396) antibody [EPR2731] 20 ul size
  • prdct_img_19084_3.jpg
  • NCAM/CD56 Antibody (123C3) | SCBT - Santa Cruz Biotechnology
  • 型抜き付せん 森柄(19085006)

同じカテゴリの 商品を探す

ベストセラーランキングです

このカテゴリをもっと見る

この商品を見た人はこんな商品も見ています

近くの売り場の商品

このカテゴリをもっと見る

カスタマーレビュー

オススメ度  4.7点

現在、3077件のレビューが投稿されています。